The neuroscience of storytelling
Storytelling as a marketing tool has been a hot topic in recent years. But it’s more than just a fad. Its power is scientifically proven. We’re not just relying on hearsay here.
The reason for that is because humans make sense of the world through narrative. It’s how we organise the knowledge we collect and how we remember things. A great example of this are those people who memorise decks of cards. They do so by forming a story based on the order in which the cards appear and then can recite that quite easy back as a result.
Despite all the modern tech that is thrown our way in today’s world and all the different ways we’re able to consume content, our brains still respond to that content by looking for the story to make sense of it all.
There are several psychological reasons why storytelling is so powerful and effective:
- It’s a primal form of communication linked to traditions, legends, and even symbols that are still being found to this day in caves.
- There’s no cultural or generational cut off with stories. They appeal to everyone, everywhere.
- They engage us and connect us with others and share meaning and purpose. It’s how we communicate.
- Stories are how we explain something works. How we justify our decisions, how we persuade, and how we understand our place in the world.
- Importantly, stories provide order. They’re familiar, comfortable and predictable. We can withstand intense emotions because in a story structure, resolution always follows conflict. In a story, one emotion will always be present, and that’s hope.
- Stories trigger our imagination and when we do that, we ourselves become participants in the narrative. The reader sees themselves as the hero of the story
A world without stories is one where we’re left searching for order, aimlessly hunting for anything that will help us make sense of what we’re reading or experiencing.
The Neuroscience
I thought it would be interesting if I now delve a bit deeper and explore the neuroscience behind storytelling.
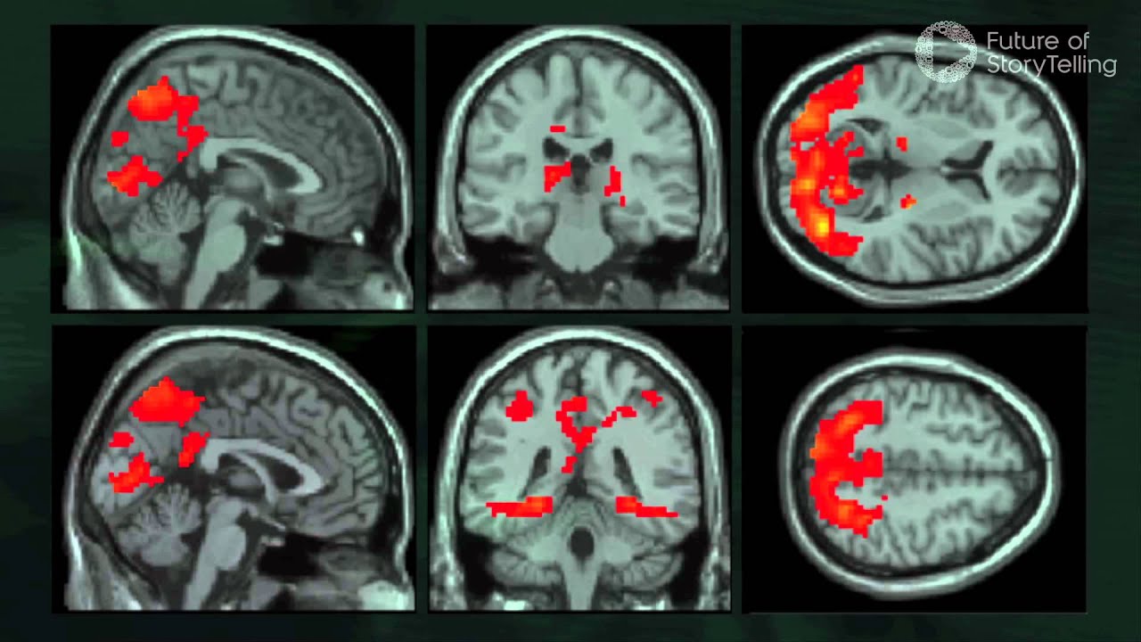
Oxytocin is the neurochemical responsible for empathy and narrative transportation. It has been proven that when the brain synthesizes oxytocin, people are more trustworthy, generous, charitable, and compassionate.
To demonstrate this point I want to share with you a video of an experiment conducted by Paul J Zak, who discovered this as fact.
Video Duration 5 minutes 58 seconds
So what this shows us is there’s demonstrable evidence of a direct correlation between storytelling and its power in influencing economic behaviour.
But more than that, it is used to connect with and inspire, which are the building blocks of good branding.
All our resources are FREE
Want to stay updated?
Get instant updates on our latest news and resources by subscribing to our mailing list
"*" indicates required fields
Related Services
Narrative workshop
Discover and refine your organisational narrative to resonate better with your audience
Narrative workshopGet your SmartSite score!
